22歳男性の矯正事例(ワイヤー矯正)
2025.09.19

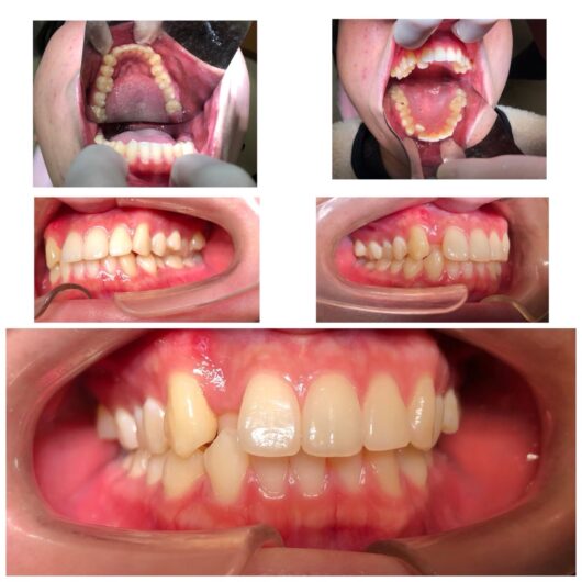
【治療前】


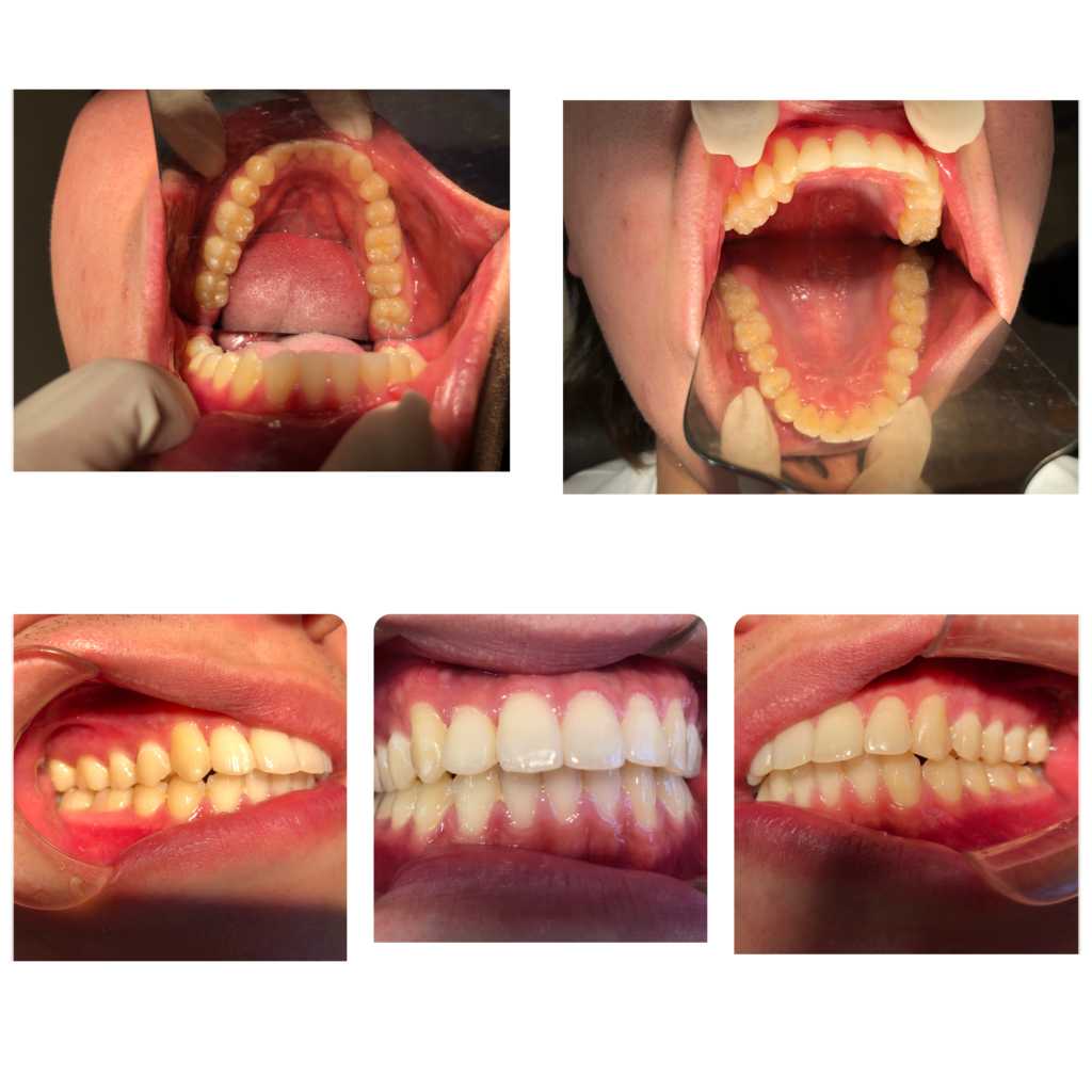
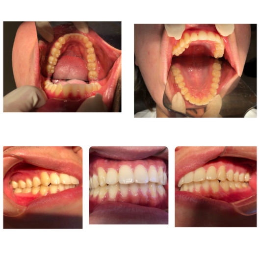
【治療後】

治療費 ※税込み価格
精密検査:5万円
ワイヤー矯正: 65万円
リテイナー: 5万円
トータル:75万円
毎月の処置・観察料 無し
患者様情報
年齢: 22歳
性別:男性
治療期間
令和4年2月~令和5年6月
土日診療可能・夜遅くまで対応 !
辻岡歯科医院ブログ
BLOG
2025.09.19

【治療前】


【治療後】

治療費 ※税込み価格
精密検査:5万円
ワイヤー矯正: 65万円
リテイナー: 5万円
トータル:75万円
毎月の処置・観察料 無し
患者様情報
年齢: 22歳
性別:男性
治療期間
令和4年2月~令和5年6月