26歳女性の矯正事例(インビザライン)
2025.09.19

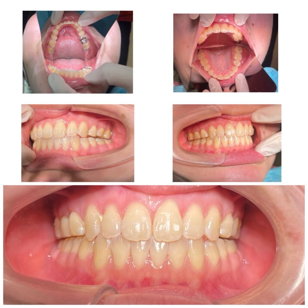
【治療前】

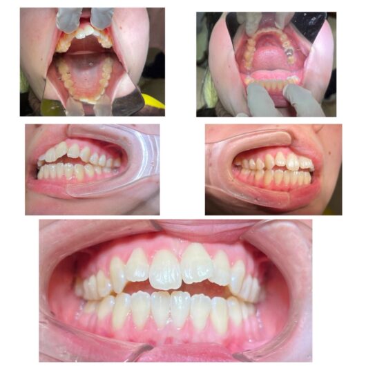
【治療後】

治療費 ※税込み価格
精密検査:5万円
インビザライン: 75万円
リテイナー: 5万円
トータル:85万円
毎月の処置・観察料 無し
患者様情報
年齢: 26歳
性別:女性
治療期間
令和6年4月~令和7年8月
土日診療可能・夜遅くまで対応 !
辻岡歯科医院ブログ
BLOG
2025.09.19

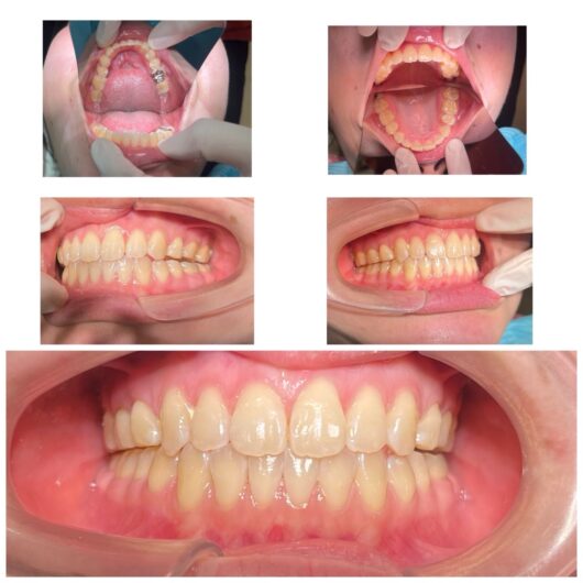
【治療前】

【治療後】

治療費 ※税込み価格
精密検査:5万円
インビザライン: 75万円
リテイナー: 5万円
トータル:85万円
毎月の処置・観察料 無し
患者様情報
年齢: 26歳
性別:女性
治療期間
令和6年4月~令和7年8月